به گزارش بهداشت نیوز: بهزاد غریب زاده، متخصص دندان، درباره فلوئوروزیس دندانی اظهار کرد: این بیماری بر اثر تغییر رنگ شدید دندان به دلیل فلوئور اضافی موجود در آب آشامیدنی است.
او با اشاره به اینکه فلوراید عنصری مفید برای ساختار دندانی است، گفت: در برخی مناطق سکنان با کمبود این عنصر در آب آشامیدنی مواجه میشوندولی گاهی مقدار بیش از اندازه آن هم اثرهای مخرب خود را دارد؛ به همین علت دندانها دچار فلوئوروزیس میشوند؛ فلوراید اضافی موجود درآب آشامیدنی هنگام تشکیل مینای دندان در کودکان روی سلولهای میناساز تأثیر گذاشته و مرحله معدنی شدن مینا را دچار اختلال میکند به گونهای که بافت زیر سطحی مینا دچار خلل میشود؛ فلوراید اضافه شده به آب و خمیر دندانها برای کاهش ضریب پوسیدگی نیز ممکن است باعث فلوئوروزیس شوند.
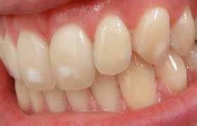
علائم فلوئوروزیس دندانی
این متخصص دندان درباره علائم و نشانههای این نوع عارضه بیان کرد: فرم خفیف این اختلال به صورت دندانهای زردرنگ یا لکههای سفید ظاهر میشود ولی در فرم متوسط و شدید لکههای زرد تا قهوهای روی مینای دندان همراه با کدر شدن کلی مینا دیده میشود، البته نشانههای از خفیف تا شدید فلوئوروزیس بسیار با هم متفاوت هستند، فلوئوروزیس دندانی بیشتر در دندانهای دائم دیده میشود، اما در دندانهای شیری نیز مشاهده شده است.
غریب زاده درباره علل فلوراید اضافی موجود در آب آشامیدنی متذکر شد: فلوراید اضافه شده به آب و خمیر دندانها برای کاهش پوسیدگی نیز ممکن است باعث بروز فلوئوروزیس شوند؛ این بیماری طی تشکیل دندان (یعنی حدود شش ماهگی تا پنج سالگی) رخ میدهد البته این زمان در افراد متعدد میتواند تا چند ماه زودتر یا دیرتر نیز اتفاق بیفتد.
این متخصص دندان درباره درمان و پیشگیری این نوع عارضه بیان کرد: ابتدا باید با دندانپزشک اطفال مشاوره انجام شود تا از مقدار فلوراید آب آشامیدنی مطلع شویم و در صورتی که کودکان نیاز به فلوراید اضافی داشته باشند مقدار و نحوه مصرف را تعیین کنیم؛ مرحله بعدی مشاهده مقدار مصرف خمیر دندان است.
غریب زاده افزود: کلا مقدار کمی خمیر دندان باید بر مسواک گذاشته شود؛ به کودکان خود یاد بدهید که خمیر دندان را نخورند و بعد از شستن دندانها آب دهان را بیرون بریزند؛ بعد از هر وعده غذا، دهان و دندانهایتان را به طور کامل تمیز کنید تا ذرات غذا بین دندانها نماند؛ با مسواک زدن خشک یا مسواک زدن با آب ساده نیز میتوانید دندانها را تمیز کنید.
این متخصص دندان پزشک گفت: کسانی که هم سیگار میکشند باید فوری سیگار را ترک کنند، زیرا سیگار کشیدن دندانها را خراب میکند؛ اگر باردار هستید، دندانپزشک یا متخصص زنان را در مورد مصرف فلوراید و داروهای مورد استفاده در جریان بگذارید.
او متذکر شد: برای کاهش و جلوگیری از لکههای سفید روی دندانها، باید تا جایی که میتوانید اجازه ندهید دهانتان خشک شود، زیرا دهان خشک یکی از دلایل اصلی این مشکل خواهد بود؛ هنگامی که دهان خشک است، باکتریهای دهان رشد کرده و به دندان هجوم آورده و باعث ایجاد لکههای سفید میشوند.
