علی یزدانی متخصص دندانپزشکی ترمیمی در گفت و گو با خبرنگار حوزه بهداشت و درمان گروه علمی پزشكی باشگاه خبرنگاران جوان؛ با اشاره به اینکه آموزش کافی در خصوص بهداشت دهان و دندان در کشور وجود ندارد، اظهار داشت: یکی از اقدامات انجام شده در راستای کاهش میزان پوسیدگی دندان در بین افراد جامعه اجرای طرح وارنیش فلوراید در مدارس ابتدایی است که برای بازدهی هرچه بهتر نیاز به رعایت رژیم غذایی از سوی گروههای هدف و آموزش بهداشت دهان و دندان دارد.
وی افزود: ماندگاری غذا بر روی سطح دندان عامل مهم پوسیدگی محسوب میشود و از آن جا که اغلب ایرانیها عادت به خوردن چیپس و پفک و انواع نوشابه دارند، اگر بهداشت دندانها را رعایت نکنند بطور حتم میزان پوسیدگی از سنین پایین رو به رشد خواهد بود.
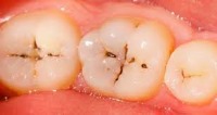
وی به وجود شیارهایی بر روی سطح دندانها اشاره کرد و ادامه داد: تعداد این شیارها در کودکان بیشتر است و اگر بعد از مصرف مواد غذایی دندانهای خود را تمیز نکنند امکان پوسیدگی دندان در آنها بیشتر از سایر سنین است.
یزدانی اضافه کرد: با افزایش سن دندان افراد دچار ساییدگی شده و شیارها از بین میرود؛ بنابراین طبیعی است که تعداد دندانهای پوسیده در افراد کم سن و سال بیشتر باشد.
دانشیار سابق دانشگاه علوم پزشکی شهید بهشتی با اشاره به اینکه وارنیش فلوراید سادهترین روش برای تقویت مینای دندان و پیشگیری از پوسیدگی آن است، تصریح کرد: تنها با مصرف وارنیش فلوراید نمیتوان سلامت دندانها را تضمین و از پوسیدگی آنها جلوگیری کرد.
وی افزود: ترک عادات غذایی نامناسب مانند مصرف انواع شیرینی جات و ترشی، انواع تنقلاتی که پس از مصرف در شیار دندان افراد باقی میمانند و بطور کلی پیشگیری همراه با آموزش میتواند به ارتقای سلامت دندان های فراد کمک کند.
